|
 |
|
 |
|
 |
|
 |
|
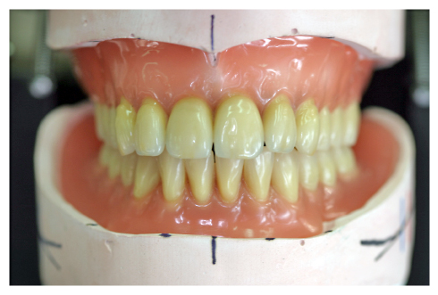
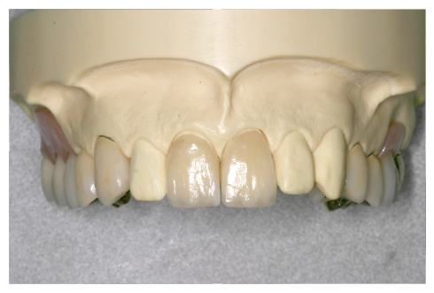
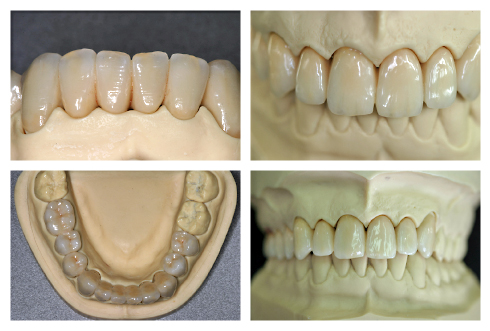
ZAHNERSATZ
Die Herstellung von Zahnersatz ist die wichtigste Aufgabe eines Dentallabors. Doch Zahnersatz ist nicht immer gleich Zahn-ersatz. Zur Qualität gehören: Herstellungsverfahren, Passgenauigkeit, Lebensdauer, Bioverträglichkeit und vieles mehr.
Zahnersatz ist ein in den Körper eingesetztes Medizinprodukt, deshalb greift das Medizinproduktgesetz. Zahnarzt und Patient müssen sicher sein, dass die angegebenen Materialien auch wirklich verwendet werden. Selbstverständlich werden nur CE gekennzeichnete Produkte von uns verarbeitet. Das Dentallabor Wagner gewährt seinen Kunden gerne jederzeit Einblick in alle Fertigungsdetails.
|
|